혈관/홍조

혈관과 홍조 치료는 피부 속 모세혈관의 문제를 해결하여, 피부 톤과 결을 개선하고 건강한 피부를 되찾는 데 필수적인 치료입니다. 특히, 혈관 확장이나 홍조는 단순한 미용 문제가 아니라 피부 건강과도 밀접하게 관련되어 있으므로, 적절한 치료가 필요합니다.

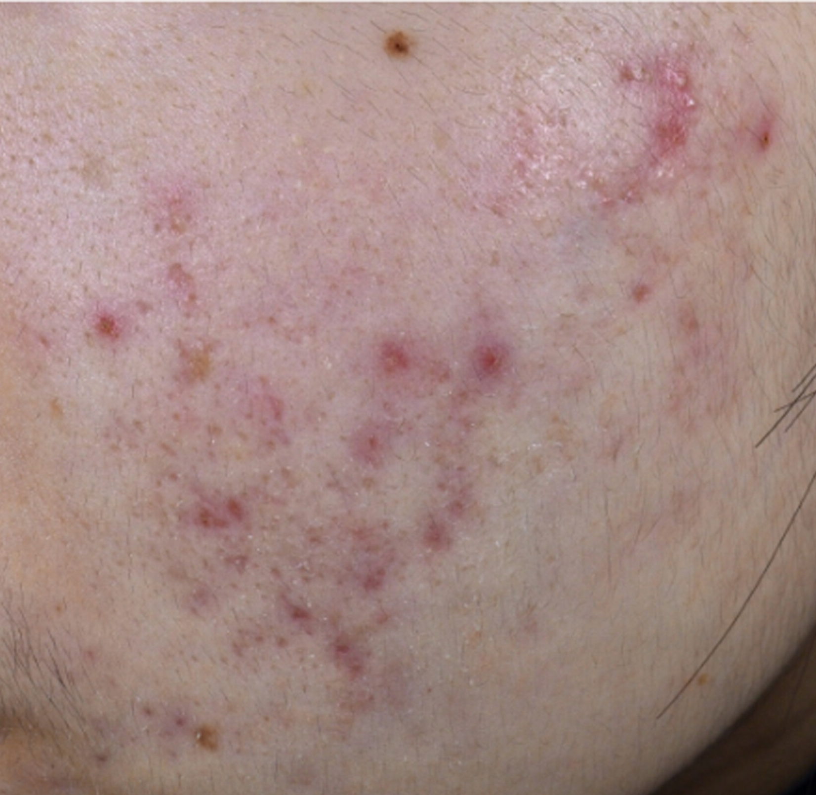
혈관 치료의 필요성

혈관 확장(홍조, 실핏줄)은 다양한 원인에 의해 발생하며, 방치할 경우 증상이 심화되거나 피부 상태에 영향을 줄 수 있습니다.

혈관 치료가 필요한 경우

혈관 치료의 원리

  • 1혈관 치료는 헤모글로빈에 선택적으로 흡수되는 파장의 레이저를 사용하여, 확장된 혈관을 수축시키고 피부를 개선하는 방식으로 진행됩니다.
  • 2이 과정에서 주변 정상 조직에는 영향을 주지 않아, 안전하면서도 효과적으로 치료할 수 있습니다.

오오피부과의 혈관 치료 장비

오오피부과는 "585nm 파장 DDR(Dual mode Dye laser)"와 "롱펄스 방식의 KTP(532nm) 및 Nd:YAG(1064nm) 브이레이저"를 사용하여 환자의 상태에 맞는 맞춤형 치료를 제공합니다.

1. DDR (Dual mode Dye Laser)

· 파장: 585nm

· 특징:

  • 1헤모글로빈에 선택적으로 흡수되는 파장으로, 혈관 병변에 강력한 치료 효과를 제공.
  • 2Dual Mode로 혈관 병변뿐만 아니라, 염증 후 붉은 자국과 같은 문제도 치료 가능.
  • 3치료 후 부작용이 적고, 회복이 빠름.

· 적응증:

  • 1홍조, 여드름 자국, 얕은 모세혈관 확장증.

2. 브이레이저 (Long Pulsed KTP & Nd:YAG)

· 파장: 532nm (KTP), 1064nm (Nd:YAG)

· 특징:

  • 1532nm KTP: 피부 표층 혈관 병변에 적합하며, 얇고 표재성 실핏줄 치료에 효과적.
  • 21064nm Nd:YAG: 깊은 혈관 병변과 다리의 정맥류와 같은 더 깊은 혈관 병변 치료에 적합.
  • 3롱펄스 방식을 통해 에너지가 안정적으로 전달되어, 혈관의 수축과 제거를 돕습니다.

· 적응증:

  • 1얕은 혈관 병변(532nm)부터 깊은 혈관 병변(1064nm)까지 폭넓은 치료 가능.
  • 2모세혈관 확장증, 안면 혈관종, 다리 정맥류.

치료 후 관리

1. 피부 진정:

  • 1시술 후 냉찜질을 통해 피부를 진정시킵니다.
  • 2붉어짐이 있을 경우, 재생 크림을 사용하여 피부 회복을 촉진합니다.

2. 자외선 차단:

  • 1혈관 치료 후 피부는 자외선에 민감해질 수 있으므로, SPF 50+ 자외선 차단제를 사용하세요.

3. 세안 및 화장:

  • 1강한 세안은 피하고, 자극 없는 제품을 사용하세요.
  • 2치료 후 피부 상태가 안정된 후 화장을 할 수 있습니다.

혈관 및 홍조 치료는 피부 건강과 미용 모두에 중요한 과정입니다. 오오피부과는 585nm DDR 레이저와 롱펄스 브이레이저를 활용하여, 환자 개개인의 상태에 적합한 맞춤형 치료를 제공합니다.