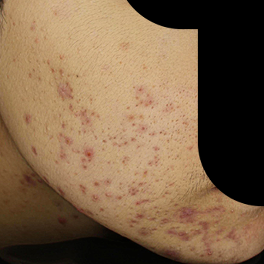
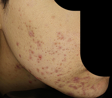
여드름

아래 사진은 동의한 고객의 실제 사례입니다. 치료 효과는 개인의 피부 상태, 치료 방법, 시술 횟수에 따라 다를 수 있으며, 붉어짐, 부기, 색소침착 등의 부작용이 발생할 수 있습니다. 시술 전 충분한 상담을 통해 적합한 치료 계획을 안내받으시기 바랍니다. 부작용 발생 시 반드시 의료진과 상담해 주십시오.